: 0212 632 10 60
: 0535 921 42 95
: info@hekimoglugoruntuleme.com
HIZLI MENU
İstanbul Mr Merkezlerine Nasıl Ulaşılır?
PET BT
Açık Emar
Rahim Filmi HSG
Multislice Tomografi
Renkli Ultrason
4 Boyutlu Ultrason
Ayrıntılı Ultrason
Sefalometrik Röntgen
Panoramik Diş Röntgeni
Diş Tomografisi
Bize Ulaşın:
info@hekimoglugoruntuleme.com
Telefon:
0212 632 10 60
Anasayfa
Açık Emar
Renkli Ultrason
Rahim Filmi HSG
PET BT
NIPT Fetal DNA Testi
Hizmetlerimiz
Açık Emar
4 Boyutlu Ultrason
Dijital Mamografi
Gebelik
Check Up
Dijital Röntgen
Diş Tomografisi
Rahim Filmi
Bilgisayarlı Tomografi
Renkli Ultrason
Biyopsi
PET BT
Makaleler
İletişim
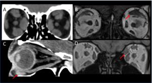
ekstraokuler kaslar nedir
Yorumlar (Henüz yorum yapılmamış)
Henüz yorum yapılmamış
Görüşlerinizi bildiriniz.
Δ
Yorumlar (Henüz yorum yapılmamış)
Henüz yorum yapılmamış